Request an Appointment
248 Middle Country Road, Suite 19, Selden, NY 11784
Existing Patients:
(631) 588-8890
New Patients:
(631) 542-2940
Our Office
248 Middle Country Road
Suite 19
Selden
,
NY
11784
(631) 588-8890
Visit Us Online
Home
About Us
Our Office
Meet Our Team
Smile Gallery
Testimonials
Dental Videos
Dental Health
Virginia M. Mitchell, DDS
Services
Dental Cleanings
Emergency Treatment
Extractions
Oral Cancer Screening
Oral Exams
Periodontal Treatment
Preventative Program
Root Canals
Dental Fillings
Dentures
Implant Dentistry
Implant Restorations
Teeth-in-a-Day
Ceramic Crowns
Cosmetic Dentistry
Teeth Whitening
Digital Radiography
New Patients
Contact Us
Request Appointment
Smile Gallery
Before
Smile restored with implants and crowns
Before
Teeth-in-a-Day
Before
Teeth-in-a-Day
Facial trauma caused porcelain fracture on a 4 unit bridge
Bridge saved, fracture restored with an overlay crown
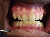
Before, Stained Teeth
After, Teeth Cleaning
Plaque & Calculus Buildup
After, Teeth Cleaning
Before
Smile Restored with Implants & a Bridge
Before
Complete Upper Dentures
Our Office
248 Middle Country Road
Suite 19
Selden
,
NY
11784
(631) 588-8890
Visit Us Online
Existing Patients:
(631) 588-8890
New Patients:
(631) 542-2940
© 2026 Virginia M. Mitchell, DDS, PC. All Rights Reserved. |
Accessibility Policy
Dental Marketing
Selden Dentist | Dentist in Selden | Cosmetic Dentist Selden